고등급 이상의 선종 혹은 대장 점막암이 의심되는 용종 다수가 관찰된 사례, 유경성의 거대 용종 포함
- Byoung-Yeon Jun

- 2020년 7월 17일
- 1분 분량
60대 남자
첫 대장내시경
6개의 용종 절제술 중
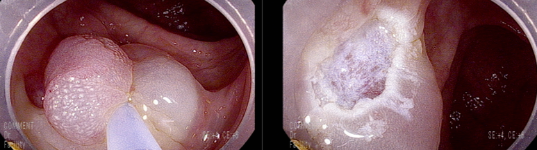
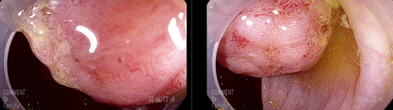
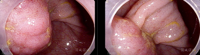
마지막 유경성 거대 용종을 제외하고 점막 소구 패턴(pit pattern)이 불규칙하게 관찰되어(Vi) 고등급의 선종 혹은 점막암을 의심하여 충분히 융기시켜 경계가 확실히 포함되고 한조각으로 완전 절제하기 위해 넓게 절제함
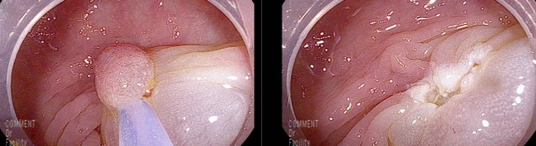
7 mm 크기
7-8 mm 크기
9 mm 크기
19-20 mm 크기의 유경성(목이있는) 용종은 클립을 적절히 사용하여 출혈예방함
조직결과;
[ DIAGNOSIS ]
1. Colon, distal descending, colonoscopic polypectomy;Tubular adenoma (low grade)* resection margin: seemingly free (fragmented)
2. Colon, distal descending, 34cm from anal verge, colonoscopic polypectomy;Tubulovillous adenoma with mild to moderate dysplasia (low grade dysplasia)* resection margin: uncertain (focally with free margin)
3, 4. Colon, distal descending (#3, 4), 34cm from anal verge (#3), colonoscopic polypectomy;Tubular adenoma (with low grade dysplasia)* resection margin: negative(-)
5. Colon, proximal sigmoid, colonoscopic polypectomy;Tubular adenoma with focal high grade dysplasia(mostly low grade dysplasia with focal severe dysplasia)* resection margin: negative(-)6. Colon, mid sigmoid, 22cm from anal verge, colonoscopic polypectomy;Tubulovillous adenoma (largely with mild to moderate dysplasia),with focal high grade dysplasia to adenocarcinoma in situ* resection margin: seemingly free
동대문구 답십리 우리안애, 우리안愛 내과, 건강검진 클리닉 내과 전문의 전병연
















댓글